



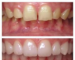
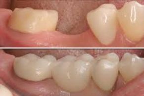
-sometimes referred to as a "cap" crowns are often the treatment of choice when a tooth has an extensive fracture, excessive wear, and even from a preventive standpoint to avoid fractures due to large fillings
-contrary to popular belief, a crown is not a "fake tooth." The natural root is still present but the crown portion is prepped to allow the fabricated crown to fit on top of the prepped surface.







